Liên Tiểu Hồng, bác sĩ trưởng một phòng khám ở Đài Loan (Trung Quốc), đã chia sẻ trường hợp này trên mạng xã hội. Một phụ nữ 50 tuổi không hút thuốc hay uống rượu, không mắc bệnh mãn tính hay tiền sử gia đình, tuy nhiên gần đây, cô cảm thấy khó chịu và bụng luôn có cảm giác căng tức trong suốt 1 tháng qua. Thậm chí, cô còn đột nhiên sụt 9kg. Khi đi khám, kết quả nội soi dạ dày sơ bộ cho thấy dạ dày của cô "vỡ nhẹ". Nhưng siêu âm và chụp cắt lớp thêm cho thấy có một cái bóng dài 4cm trên tuyến tụy của người phụ nữ, vốn bị nghi ngờ là ung thư tuyến tụy.
Bác sĩ Liên Tiểu Hồng giải thích rằng chỉ số khối u của người phụ nữ "CA19-9 (kháng nguyên carbohydrate 19-9)" đạt hơn 200, gấp 7 lần giá trị bình thường, tức tương đương với bệnh đang ở giai đoạn giữa và cuối". Vì khối u khá lớn và gần với mạch máu, nếu không thể mạo hiểm phẫu thuật, bạn chỉ có thể sử dụng hóa trị trước, hy vọng khối u sẽ thu nhỏ lại.
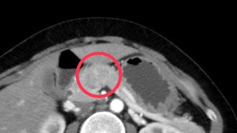
![]()
Hình ảnh chụp cắt lớp khối u tuyến tụy của người phụ nữ
Ước tính người phụ nữ này đã bắt đầu có khối u từ một năm trước, nhưng cô ấy chỉ nhận được kết quả khám sức khỏe cơ bản vào thời điểm đó và không phát hiện ra điều gì. Ông tin rằng nếu người phụ nữ được siêu âm nội soi tuyến tụy và sàng lọc ung thư tuyến tụy chính xác vào thời điểm đó, có khả năng người ta đã phát hiện ra ở giai đoạn đầu và việc điều trị tiếp theo sẽ rất khác, lệ sống sót sau 5 năm có thể tăng lên 80%.
Về lý do tại sao người phụ nữ không hút thuốc hay uống rượu, không mắc bệnh mãn tính hay tiền sử gia đình mà vẫn mắc bệnh ung thư tuyến tụy, bác sĩ Liên Tiểu Hồng tin rằng nguyên nhân có liên quan đến việc bệnh nhân thiếu vận động và ăn quá nhiều sản phẩm chế biến và thịt đỏ.
Ông giải thích thịt chế biến bao gồm giăm bông, thịt xông khói, thịt hộp... Vì có hương vị thơm ngon, dễ ăn nên được giới trẻ ưa chuộng hơn. Tuy nhiên, nó lại có thể làm tăng nguy cơ mắc bệnh ung thư.
So với thịt tươi, để kéo dài thời hạn sử dụng của thịt chế biến, nitrit thường được thêm vào trong quá trình sản xuất. Sau khi nitrit đi vào dạ dày sẽ phản ứng với protein trong dạ dày tạo ra chất nitrosamine gây ung thư, làm tăng nguy cơ ung thư dạ dày, ung thư tuyến tụy, ung thư đại trực tràng và các bệnh ung thư khác. Hơn nữa, hàm lượng natri trong các sản phẩm thịt chế biến sẵn tương đối cao, chế độ ăn nhiều muối có thể gây tổn thương nhất định cho niêm mạc dạ dày và làm tăng nguy cơ ung thư.
Trong khi đó, thịt đỏ là loại thịt có màu đỏ trước khi nấu, chẳng hạn như thịt lợn, thịt bò, thịt cừu... và chứa hàm lượng chất béo bão hòa cao. Ngược lại thịt trắng, có hàm lượng chất béo thấp hơn như thịt gà, vịt, ngỗng, cá, tôm, nghêu...
IARC phân loại thịt đỏ vào danh sách chất gây ung thư loại 2A. Ăn thịt đỏ làm tăng nguy cơ ung thư đại trực tràng, ung thư tuyến tụy và nhiều loại ung thư khác. Nhưng điều đó không có nghĩa là bạn không nên ăn thịt đỏ, vốn rất giàu khoáng chất, đặc biệt là sắt. Bạn có thể ăn thịt đỏ nhưng cần kiểm soát lượng phù hợp và không nên ăn quá nhiều.
![]()
Trang thông tin của Cơ quan Quản lý bệnh viện Hồng Kông (Trung Quốc) nhắc nhở rằng nếu bạn có 6 triệu chứng sau đây thì có thể bạn đang mắc bệnh ung thư tuyến tụy và nên đi khám càng sớm càng tốt.
- Đau dai dẳng ở vùng bụng trên, không liên quan đến ăn uống mà sẽ phản ánh ra sau lưng.
- Rối loạn tiêu hóa như chán ăn, buồn nôn, nôn, khó tiêu và đầy hơi.
- Vàng da, ngứa da và phân màu đất sét.
- Trọng lượng giảm mạnh theo thời gian.
- Xuất hiện khối cứng, cố định ở vùng bụng trên.
- Cổ chướng.
Link bài gốc:





